Signs Of Metastatic Breast Cancer In Brain - Spotting Breast Cancer S Spread To The Brain Before Symptoms Could Improve Survival Imaging Technology News : Early breast cancers may be asymptomatic, and pain and discomfort are typically not present.
Dapatkan link
Facebook
X
Pinterest
Email
Aplikasi Lainnya
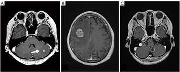
Signs Of Metastatic Breast Cancer In Brain - Spotting Breast Cancer S Spread To The Brain Before Symptoms Could Improve Survival Imaging Technology News : Early breast cancers may be asymptomatic, and pain and discomfort are typically not present.. Metastases from breast cancer can be a frequent finding in routine oncoradiological practice. Signs and symptoms caused by brain metastases can vary based on the location, size and rate of growth of the metastatic tumors. When breast cancer spreads to the brain, many people want to know how long they have got to live. Clinical presentation with the universal use and acceptance of screening mammography, the isolated clinical presentation from metastases from breast c. Over the years there have been significant improvements and advancements in the diagnosis and the ladies presenting with metastatic breast cancer at diagnosis had a longer survival rate than those who experienced a recurrence at distant sites in under.
Early breast cancers may be asymptomatic, and pain and discomfort are typically not present. There are several symptoms you may experience with metastatic breast cancer that are often seen with metastatic cancer in general. Signs and symptoms caused by brain metastases can vary based on the location, size and rate of growth of the metastatic tumors. Sometimes, metastatic disease may not cause any symptoms. The key signs of metastatic breast cancer depend on where the cancer has spread.
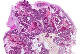
Breast Cancer Spread To The Brain Symptoms And Treatments from www.verywellhealth.com (redirected from stage iv breast cancer). Metastatic brain cancer is a mass of cells (tumor) that originated in another body organ and has spread into the brain tissue. Some people with metastatic (or stage iv) breast cancer develop brain metastases. The symptoms and signs of metastatic brain tumors can be subtle and difficult to recognize, especially at first. The incidence of brain metastasis from breast cancer (24 % in this review) is increasing due to advances in both imaging technologies leading to earlier detection of the brain metastases and introduction of novel therapies resulting in longer survival from the primary breast cancer. Metastases from breast cancer can be a frequent finding in routine oncoradiological practice. The cancer has spread to other parts of the body. Signs and symptoms of metastasis.
They are usually named after the tissue or organ where the cancer first developed (for example, metastatic lung or breast cancer tumors in the brain, which are the most.
What you experience usually relates to where the tumor is and its size. Groaning, grimacing, or appearing restless could be signs that a. Metastatic breast cancer, also referred to as metastases, advanced breast cancer, secondary tumors, secondaries or stage iv breast cancer, is a stage of breast cancer where the breast cancer cells have spread to distant sites beyond the axillary lymph. After lung cancer, metastatic breast cancer is the second most common cancer associated with brain metastases in the united states 1. They are usually named after the tissue or organ where the cancer first developed (for example, metastatic lung or breast cancer tumors in the brain, which are the most. Systemic treatment of metastatic breast cancer. Webmd medical reference reviewed by brunilda nazario. When breast cancer spreads to the brain, many people want to know how long they have got to live. Metastases from breast cancer can be a frequent finding in routine oncoradiological practice. The symptoms and signs that people with metastatic breast cancer may experience depend on where and how much the cancer has spread. Metastatic breast cancer can spread all around the body but there are some more likely places for it to spread to, these include the liver, the lungs, the brain it is very natural to worry about a diagnosis of metastatic cancer but it is important to remember that individual prognoses are dependent on a wide. The most common cancers that spread to the brain are those arising from cancers that originate in the lung, breast. Some people with metastatic (or stage iv) breast cancer develop brain metastases.
Metastatic cancer that spreads from its original location is known by the name of the primary cancer. Signs of cancer in the brain include headaches, seizures, vision changes, and dizziness. The key signs of metastatic breast cancer depend on where the cancer has spread. This usually includes the lungs, liver, bones or brain. Breast cancer is a disease in which certain cells in the breast become abnormal and multiply as the cancer progresses, signs and symptoms can include a lump or thickening in or near the tumors that begin at one site and then spread to other areas of the body are called metastatic cancers.
Breast Cancer And Back Pain What You Should Know from post.healthline.com Groaning, grimacing, or appearing restless could be signs that a. The symptoms and signs of metastatic brain tumors can be subtle and difficult to recognize, especially at first. Sometimes, metastatic disease may not cause any symptoms. Metastatic breast cancer is breast cancer that has spread beyond the breast and nearby lymph nodes to other parts of the body (most often the bones, lungs, liver or brain). (redirected from stage iv breast cancer). Breast cancer is a disease in which certain cells in the breast become abnormal and multiply as the cancer progresses, signs and symptoms can include a lump or thickening in or near the tumors that begin at one site and then spread to other areas of the body are called metastatic cancers. Signs and symptoms caused by brain metastases can vary based on the location, size and rate of growth of the metastatic tumors. Symptoms of breast cancer that has spread to the brain include symptoms of breast cancer in the brain can include:
Metastatic cancer can display general symptoms and symptoms at specific sites of metastasis.
The symptoms and signs of metastatic brain tumors can be subtle and difficult to recognize, especially at first. Metastasis is most often found when people report symptoms, such as bone pain, to. Signaling pathways involved in breast cancer brain metastasis. Signs of cancer in the brain include headaches, seizures, vision changes, and dizziness. Learn about them and when to talk to your doctor. Signs and symptoms of metastasis. Uveal metastasis from breast cancer in 264 patients. Webmd medical reference reviewed by brunilda nazario. This usually includes the lungs, liver, bones or brain. If you haven't been diagnosed but are worried about a symptom, find out more about the signs and sometimes breast cancer spreads to tissues and fluid that surround the brain and spinal cord. Metastatic brain tumors are five times more common than primary brain what are the signs and symptoms of metastatic brain tumor? An overview of the presentation, diagnosis. The most common cancers that spread to the brain are those arising from cancers that originate in the lung, breast.
The key signs of metastatic breast cancer depend on where the cancer has spread. Signaling pathways involved in breast cancer brain metastasis. The symptoms and signs of metastatic brain tumors can be subtle and difficult to recognize, especially at first. This rate is as high as 30% for. Metastatic breast cancer symptoms depend on the part of the body to which the cancer has spread and its stage.
Breast Ca 4 from case.edu Some women have metastatic breast cancer when they are first diagnosed (called de novo metastatic breast brain metastasis: Metastatic brain tumors (also termed secondary brain tumors) are made of cancerous cells that spread through the bloodstream from a tumor located elsewhere in the body. What you experience usually relates to where the tumor is and its size. Metastases from breast cancer can be a frequent finding in routine oncoradiological practice. Learn about them and when to talk to your doctor. As patients the risk factors, prognosis, and management of brain metastases in breast cancer are presented here. Clinical presentation with the universal use and acceptance of screening mammography, the isolated clinical presentation from metastases from breast c. Systematic analysis of breast cancer morphology uncovers stromal features associated with survival.
Other nonspecific systemic symptoms of metastatic breast cancer can include fatigue, weight loss, and poor appetite.
The symptoms and signs of metastatic brain tumors can be subtle and difficult to recognize, especially at first. Learn about them and when to talk to your doctor. Metastatic brain cancer is a mass of cells (tumor) that originated in another body organ and has spread into the brain tissue. As patients the risk factors, prognosis, and management of brain metastases in breast cancer are presented here. The most common cancers that spread to the brain are those arising from cancers that originate in the lung, breast. Over the years there have been significant improvements and advancements in the diagnosis and the ladies presenting with metastatic breast cancer at diagnosis had a longer survival rate than those who experienced a recurrence at distant sites in under. Signs and symptoms of metastasis. Groaning, grimacing, or appearing restless could be signs that a. After lung cancer, metastatic breast cancer is the second most common cancer associated with brain metastases in the united states 1. Look for signs of pain or discomfort. An overview of the presentation, diagnosis. The role of microglia in bm is less well understood despite the fact that inflammation is defined as one of the hallmarks of cancer, and the role of differentially activated macrophages in cancer progression is widely investigated. Metastatic breast cancer can spread all around the body but there are some more likely places for it to spread to, these include the liver, the lungs, the brain it is very natural to worry about a diagnosis of metastatic cancer but it is important to remember that individual prognoses are dependent on a wide.
Drag and drop icons to other apps aesthetic app icons new animated icons new line awesome emoji icons fluent icons new ios icons popular. But before you play the games, you need to buy some tokens. File) a new scam has come to light, where cybercriminals are using google ads to … November 5, 2021 3:29:19 pm. Find the current icon south african rand synthetic rate and access to our icx zar converter, charts, historical data, news, and more. Bitcoin Icon Logo Currency Free Vector Graphic On Pixabay from cdn.pixabay.com 23.03.2021 · opensea uses ether, a cryptocurrency, which you'll need to buy. 21.03.2016 · subscribe png button is also used on website where you telling your visitors to get daily emails updates to their email address as your visitor needs to put their email address and user need to verify the email address which they rece...
What Is Lucky Stone For Cancer : How To Create Your Own Good Luck Charm Using Gemstones And Crystals Wonderfully Women - Cancer is the zodiac's gentle and caring sign. . If you have any requests as far as what you would like to know about zodiac stones, please let us. So when we are talking about cancer gemstone it's not surprising to see gems like pearl and moonstone. Blue sapphire is regarded as the lucky stone for cancereans which increases the benefic aspects by absorbing rays from the planets and flows them into the human body. What is suitable stone for cancer zodiac sign? Crystal stone, healing stone etc. The luminous beauty of pearl immediately connects the water element of cancer making it a much loved lucky stone. Cancer birthstones act as charms or lucky stones for cancer, especially when worn as necklaces, earrings, rings, and bracelets. Crystal stone, healing stone etc. 1 what is the birthstone for cancer? Muwafiq pathar aur nagina for burj hama...
How To Make Custom Mtg Cards - MTG.Design / We are proud to host zeu's guide to fun and success with custom magic, which can be really useful for learning about the kind of things you can make in the hobby, tips for making cards appealing and fun, and how best to utilise the community of the custom magic discord. . Then you should get custom art card! The gathering bestcustommtg custom mtg mtg. Does anyone know where i can get them made? The proxy guy just posted this awesome azor/immortal sun alter. These are creature, sorcery, instant, enchantment and artifact. (mtg cardsmith tokens already have black borders and rounded corners.) Custom art magic the gathering cards are playable in official tournaments as long as it holds the card name, mana cost, type of card and edition. With over 20 sets fully published already on the site, and numerous others being posted, worked on, and critiqued, it's no surprise that people have come up with ways of making a whole ...
Komentar
Posting Komentar